
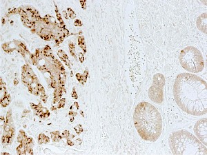
Fig. 1: Image of a human colon tumor section showing high PRL-3 protein in cancerous epithelia (left) but not in normal epithelia (right). The central section is a transition area.
From Ref. 1. Reproduced with permission. © 2010 Elsevier
A team led by Qi Zeng of the A*STAR Institute of Molecular and Cell Biology in Singapore has identified a molecule that regulates the expression of PRL-3, a protein implicated in cancer metastasis — the often fatal spread of cancer around the body.
Enzymes called phosphatases affect the activity of target proteins by removing phosphate groups. PRL-3 is a phosphatase expressed at low levels in some tissues but at high levels in tumors, which are associated with metastasis and poor prognosis in diverse human cancers (Fig. 1). “PRL-3 is a ‘multitasking’ phosphatase involved in several steps of cancer progression and metastasis,” explains Zeng. “We wanted to understand how PRL-3 expression is regulated and the cause of its increased expression in cancers.”
By analyzing over a thousand tumor samples taken from various human cancers, Zeng and her collaborators showed that PRL-3 was elevated in nearly a quarter of cases, consistent with previous studies. However, PRL-3 protein levels were not closely tied to the magnitude of PRL-3 gene expression, as reflected by messenger RNA (mRNA) transcript abundance. This suggested that PRL-3 protein translation from transcripts is itself subject to regulation.
Further experiments revealed that the non-coding sequence flanking the PRL-3 protein-coding sequence of the mRNA is important for regulating translation efficiency in colon cancer cell lines. Specifically, they showed that three short sequence motifs rich in the bases guanine (G) and cytosine (C) and found upstream of the protein-coding sequence are necessary for suppressing translation. When the researchers deleted all three motifs, PRL-3 protein levels greatly increased.
Zeng and her co-workers ascertained that changes in mRNA stability were not the cause; and structural modeling indicated that the GC-rich motifs were unlikely to affect mRNA structure. They therefore hypothesized that a regulatory factor acts on the motifs.
Using craftily constructed molecular lures, they fished out a known RNA-binding protein called PCBP1 that bound specifically to RNA containing the GC-rich motif, thereby retarding the incorporation of PRL-3 mRNA into the cell’s protein manufacturing machinery.
Experiments with mice showed that PCBP1 can function as a tumor suppressor, limiting PRL-3 protein levels thus decreasing activation of AKT, a molecule known to enhance tumorigenesis.
The researchers also found an inverse correlation between PRL-3 and PCBP1 expression levels in primary human cancers, supporting the clinical relevance of their experimental results.
“Although we do not as yet know the exact mechanism of PCPB1 in cancer progression, understanding PRL-3 regulation should lead to new therapeutic approaches to block cancer progression,” says Zeng.
The A*STAR-affiliated researchers contributing to this research are from the Institute of Molecular and Cell Biology and the Institute of Medical Biology.